Products
Pano
Ceppro
About Us
Contact Us
News
제품 로그인
Pano
Ceppro
Home
Products
About Us
Contact Us
News
Pano
치과영상검출진단보조소프트웨어
Generating
For Bright
Future
Pano Demo Free Trial ->
PANO Overview
판독보조
균등한 성능, 실시간 탐색
의심부위 탐지, 치료계획 간소화 수립 기능
환자 차트 자동 업로드
상담보조
환자와의 짧은 대화, 깊은 이해 스마트 상담 보조
돌아간 환자도 우리병원을 다시보게 Report Print 기능
전체 내용 복사로 전자 차트에 그대로 기록
환자재내원률 Up
치과신뢰도 Up
진료동의률 Up
환자재내원률 Up
치과신뢰도 Up
진료동의률 Up
환자재내원률 Up
치과신뢰도 Up
진료동의률 Up
환자재내원률 Up
치과신뢰도 Up
진료동의률 Up
환자재내원률 Up
치과신뢰도 Up
진료동의률 Up
환자재내원률 Up
치과신뢰도 Up
진료동의률 Up
환자재내원률 Up
치과신뢰도 Up
진료동의률 Up
환자재내원률 Up
치과신뢰도 Up
진료동의률 Up
환자재내원률 Up
치과신뢰도 Up
진료동의률 Up
환자재내원률 Up
치과신뢰도 Up
진료동의률 Up
AI 치아정보 탐지
Pano는 인공지능 기술을 활용해 판독시 놓치기 쉬운 세부적인 의심부위를 탐지하고 시각적으로 표기합니다.
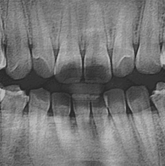
Panorama X-ray
판독 보조
X-ray로 찍은 파노라마 영상을 병원 서버에 자동으로 업로드하여, 치과 우식증(Caries), 치근단치주염(Apical periodontitis) 의심 부위와 치조골 레벨,신경 치료, 임플란트, 보철물 등을 실시간으로 표기할수있는 파노를 소개합니다.
선택한 치료계획에
따른 상담보조
Pano 환자 진단 상담 패널은 치아 상태와 치료 계획을 시각적으로 쉽게 이해할 수 있도록 구성되어 있습니다. 환자에게 진단 결과와 치료 계획 을 설명하는 데 있어 편리함을 제공합니다.
환자 재내원율을 올리는 레포트 출력
종합 구강 건강 레포트(DHR)를 통해 환자들이 병원을 신뢰하고 재방문하도록 유도할 수 있습니다.
연구 개발
치아우식 판독 보조
치아우식증에 대해 1차 판독 은 치과의사 3명이 AI 없이 각 영상을 판독 했고, 2차 판독은 동일 영상을 AI의 도움을 받아 판독하여 F1 score를 산출했습니다.
치아우식증
치과의사A
61.5%
79.2%
0
25
50
75
100
0
%
AI로 판독 보조시 충치 판독율
치과의사A
48.4%
75.9%
0
25
50
75
100
0
%
AI로 판독 보조시 충치 판독율
치과의사A
55.7%
77.6%
0
25
50
75
100
0
%
AI로 판독 보조시 충치 판독율
치근단치주염
치과의사A
78.5%
85.2%
0
25
50
75
100
0
%
AI로 판독 보조시 충치 판독율
치과의사A
72.5%
88.6%
0
25
50
75
100
0
%
AI로 판독 보조시 충치 판독율
치과의사A
77.2%
83.1%
0
25
50
75
100
0
%
AI로 판독 보조시 충치 판독율
치아우식증
치과의사 A
0
치과의사 B
0
치과의사 C
0
치근단치주염
치과의사 A
0
치과의사 B
0
치과의사 C
0
더 나은 치과 진료 경험 DDH AI 솔루션 플랫폼과 함께하세요.
Contact Us